Zahnersatz
Ist ein Zahn so stark beschädigt, dass keine zahnerhaltenden Maßnahmen mehr möglich sind, dann sollte in den meisten Fällen der betroffene Zahn ersetzt werden.
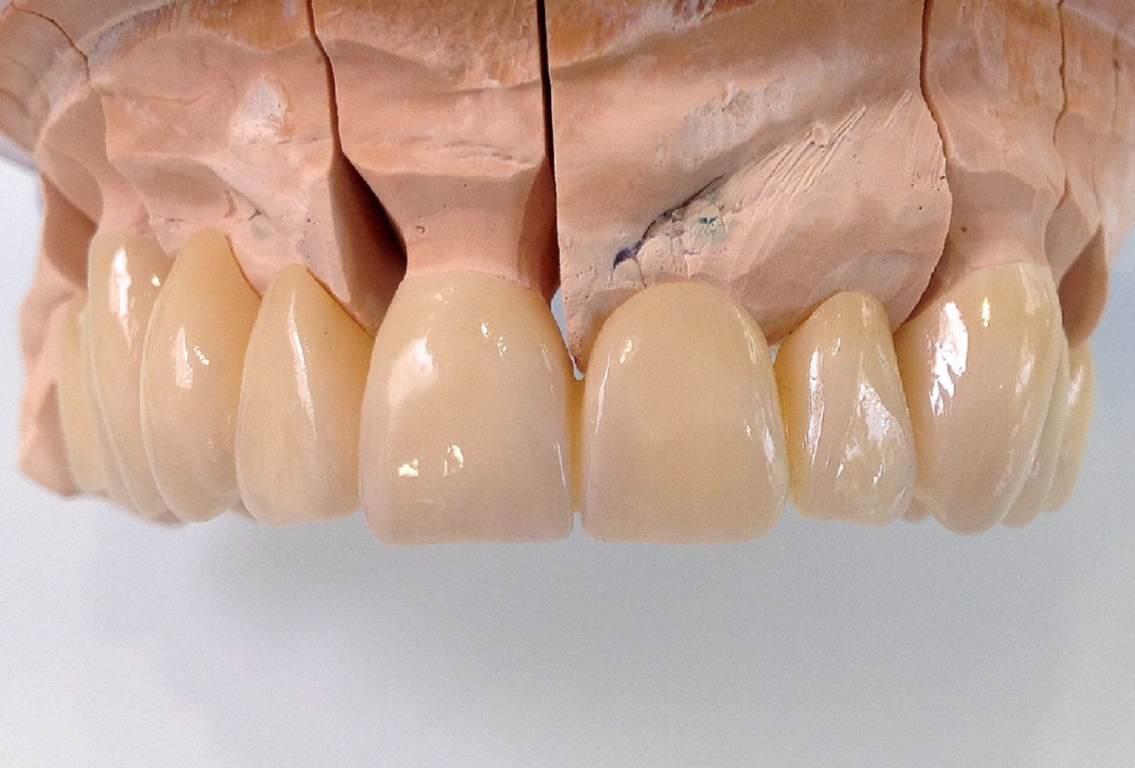
Die Ziele von Zahnersatz sind es, die Kaufunktion zu erhalten und die Ästhetik und Phonetik wiederherzustellen. Man unterscheidet in festsitzenden Zahnersatz und herausnehmbaren Zahnersatz:
- Festsitzender Zahnersatz wird in Form von Teilkronen, Kronen und Brücken fest auf Zähnen und Implantaten verankert. Eine Krone schützt einen stark beschädigten Zahn vor weiterem Substanzverlust und ist streng genommen noch eine zahnerhaltende Maßnahme. Eine Brücke ersetzt einen oder mehrere fehlende Zähne, indem sie die Lücke überspannt.
- Herausnehmbaren Zahnersatz gibt es in Form von totalen Prothesen zum Ersatz aller Zähne eines Kiefers oder Teilprothesen zum Ersatz einiger fehlender Zähne. Bei herausnehmbaren Prothesen gibt es eine Vielzahl an unterschiedlichen Varianten wie der Zahnersatz an den restlichen Zähne verankert wird. Einige Beispiele sind Klammern (Klammerprothese), Doppelkronen (Teleskope), Geschiebe, Stege und Druckknöpfe (Locatoren).
Wichtig für einen guten Zahnersatz ist eine gute Planung im Vorfeld. Aus einer Vielzahl an Formen und Materialien wollen wir mit Ihnen zusammen im Beratungsgespräch die individuell für Sie beste Lösung finden. In manchen Fällen, zum Beispiel beim Vorliegen einer Parodontitis, ist auch eine gute Vorbehandlung nötig, damit Ihr Zahnersatz auf einem gesunden und soliden Fundament sitzt. Unser Zahnersatz wird vor Ort in Darmstadt im Dentallabor Teuber (http://www.teuber-dental.de/) gefertigt. Dies gewährleistet eine hohe gleichbleibende Qualität bei Materialien und Ästhetik. Und im Falle von Korrekturen und Reparaturen kurze Wege und eine schnelle Ausführung.
Weiterführende Informationen zum Thema Zahnersatz: http://www.kzbv.de/zahnersatz.75.de.html













